The Precision Computational Health and Biomedical Data Science Lab (Saeed Lab) is a computational research lab based at Knight Foundation School of Computing and Information Sciences (KFSCIS), Florida International University in Miami, Florida, led by Dr. Fahad Saeed.

The Saeed Lab is located on FIU’s MMC Campus in the Computing, Arts, Sciences & Education (CASE) building (Room 261).

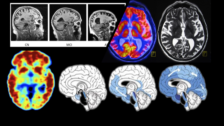
The Saeed Lab develops machine-learning models, combined with high-performance computing, and data science approaches, to study the functional genomics (proteomics), and organization of the human brain.

Our work focuses on understanding the stochastic difference between identified peptides from high-throughput mass spectrometry data for applications related to human health, disease, and environment. In addition, our work focuses on understanding brain function in the context of prediction, diagnosis and characterization of biomarkers specific to disorders such as epilepsy, ADHD, Autism, and Alzheimer’s.

To achieve these goals, we embrace open science principles and adopt and develop best practices to promote reproducible computational results. If you would like to know more about specific projects, you are welcome to visit us on GitHub, Research and Software pages. Complete open project models and data are shared via Open Science Framework (OSF), FigShare, and Harvard Dataverse.

If you are a prospective MS/PhD student please read and fill out the details here.
If you are a prospective Post-Doctoral Fellow, please read and fill out the details here.
You can send me a follow-up email at fsaeed@fiu.edu after you have filled out the relevant forms.

fairGNN-WOD: fair graph learning without demographics
Zichong Wang; Fang Liu; Shimei Pan; Jun Liu; Fahad Saeed; Meikang Qiu; Wenbin Zhang;, IJCAI '25: Proceedings of the Thirty-Fourth International Joint Conference on Artificial Intelligence (Article 63) :556 - 564 (2025).
Published 01 Dec 2025
RAPTOR: Reconfigurable Advanced Platform for Trans- disciplinary Open Research
Hamed Najafi; Pratik Poudel; Kiavash Bahreini; Julio Ibarra; Fahad Saeed; Yuepeng Li; Jayantha Obeysekera; Jason Liu;, Proceedings of 15th Workshop on AI and Scientific Computing at Scale using Flexible Computing Infrastructures (FlexScience) (Article 50) :1 - 5 (2025).
Published 01 Dec 2025
Published 18 Aug 2025
Machine-learning models to characterize and predict Alzheimer's disease
Design and development of high-performance computing algorithms for large-scale MS omics data using hetregenous architectures
Reference EEG Benchmark for Prediction of Epileptic Seizures
Advance machine-learning models for prediction of Seizures using EEG data
Development of interconnected set of open-source machine-learning tools for mass spectrometry based omics

Congratulations to Anju Singh for being selected to both the OURS FIU and UR2PhD programs, receiving research funding and mentorship support.

Posted 29 Sep 2025

At the 73rd ASMS Conference on Mass Spectrometry and Allied Topics in Baltimore, Maryland, Bilal Shabbir presented a poster introducing a deep learning framework designed to predict multiple peptide properties from mass spectrometry data, advancing computational methods in proteomics.

Posted 09 Jul 2025

Paras Parani was selected to represent the College of Engineering and Computing at the 2024 University-Wide 3MT Competition.

Posted 26 Nov 2024

Dr. Umair Mohammad was Selected to be a 2024 American Epilepsy Society Fellow.

Posted 10 Sep 2024

Our work on seizure prediction using lightweight transformer models was accepted at 2024 IEEE International Conference on Big Data workshop HPC-BOD.

Posted 09 Sep 2024